Az attachmentek kulcsfontosságú elemei a láthatatlan fogszabályozásnak. Mire valók ezek az apró kiegészítők és hogyan járulnak hozzá a fogak pozíciójának korrigáláshoz? Ezek a kis méretű, ám annál fontosabb rögzítőelemek nagyban befolyásolják a fogszabályozás menetét és eredményességét is.

Mire valók az attachmentek fogszabályozáskor?
Az attachmentek kulcsfontosságú elemei a láthatatlan fogszabályozásnak
Mi az attachmentek szerepe a fogszabályozásban?
Attachmenteket használunk a láthatatlan fogszabályzók – alignerek – esetében, annak érdekében, hogy precízebben és hatékonyabban tudjuk mozgatni a fogakat.
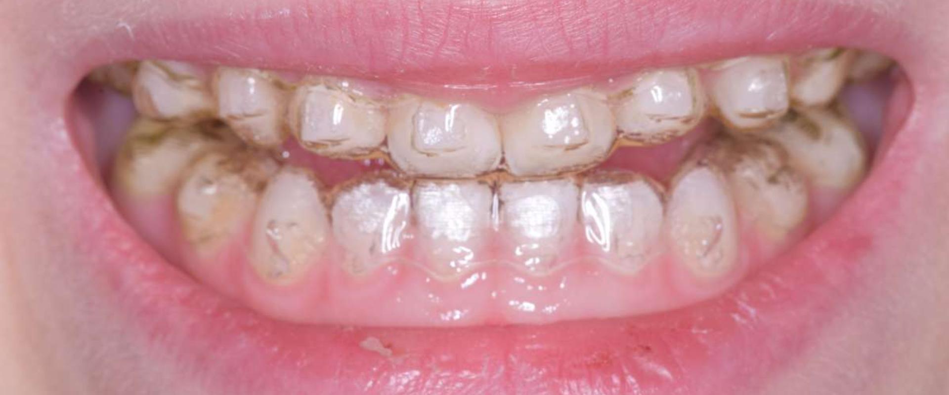
Az attachmentek a fogakra ragasztott apró kis rögzítőelemek, melyek megegyeznek a páciens fogainak színével és kompozit tömőanyagból készülnek. Általában négyzet vagy háromszög alakúak, de akár más formájúak is lehetnek, ha a kívánt fogmozgatáshoz az szükséges.
Az attachmenteknek számos fontos funkciójuk van a fogszabályozás során. Egyrészt az attachmentek biztosítják a fogak és a fogszabályozó sín közötti tapadást, ezáltal lehetővé téve, hogy a fogszabályozó készülék nagyobb erőkifejtéssel tudjon dolgozni.
Másrészt, ha a fogászati probléma szükségessé teszi, a fogakat akár forgatni is kell, ebben pedig nagy segítség az attachment.
Ha nem helyezünk fel attachmenteket, a fogmozgatást csupán a láthatatlan fogszabályzó által kifejtett erő végzi, ám számos esetben szükség lehet arra, hogy nagyobb erőkifejtést vagy speciális fogmozgást érjünk el. Ehhez pedig az attachmentek nyújtanak támasztékot és segítséget a fogszabályzó készüléknek.
Hogyan működnek az attachmentek?
Az attachmentek a fogak egyedi pozíciójának és a szükséges mozgatásnak megfelelően, egyedileg kerülnek rögzítésre. Ezekbe a kis rögzítőelemekbe „kapaszkodik” bele az aligner sín, így tud nagyobb erőt kifejteni, illetve precízebb vagy nehezebb fogmozgatást is elvégezni.
A konzultáció és a kezelési terv elkészítése során pontosan meghatározzuk hol és mennyi attachmentre van szükség, mivel minden fogra nem fog kelleni. Ugyan nem minden esetben van szükség a rögzítőelemek felragasztására, de mivel határozottabb erővel lehet velük mozgatni a fogakat, többnyire szükségesek a kezelés során.
Hogyan helyezik fel az attachmenteket?
Miután pontosan meghatároztuk hova és hány darab attachmentnek kell kerülni, a kompozit tömésekhez használt ragasztóval rögzítjük őket és egészen a fogszabályzó kezelés végéig fenn is kell maradniuk.
Az attachmentek felhelyezése teljesen fájdalommentes eljárás, és annak köszönhetően, hogy a fogak színéhez igazítjuk őket, szinte teljesen láthatatlanok, akárcsak az aligner készülékek.
Mi történik, ha leesik az attachment?
Ha egy rögzítőelem leesik, nem kell pánikba esni. Értesítsen minket a problémáról és egyeztetünk egy időpontot, amikor a hiányzó darabot pótoljuk. Addig is az aligner készülék végzi a feladatát, a fogszabályzó kezelés megy tovább, emiatt nem kell aggódnia. A leesett attachmentet pedig a lehető gyorsabban pótolni fogjuk.
Fontos, hogy ne próbálja meg önállóan visszahelyezni az attachmentet, mert az károsíthatja a fogakat vagy az ínyt.
Mi történik az attachmentekkel miután véget ér a fogszabályozó kezelés?
A fogszabályozás végeztével az attachmentek is eltávolításra kerülnek, mely szintén fájdalommentes eljárás. A leszedést követően megtisztítjuk a fogakat a ragasztótól és polírozzuk őket, ezáltal olyan lesz, mintha semmi sem lett volna korábban a fogain.
Fontos tudni, hogy az attachmentek felhelyezése és levétele nem károsítja a fogzománcot.
Kíváncsi, hogy a láthatatlan fogszabályozás hogyan változtathatja meg a mosolyát? Ne habozzon, foglaljon időpontot személyes konzultációra az Iván Implantológia fogszabályozó szakorvosához, Dr. Veszelovszky Ritához! A kezelési folyamatot egy személyes találkozóval kezdjük, ahol részletesen átbeszéljük a kezelési célokat és végigvezetjük Önt a várható eredményeken, a fogszabályozó kezelés lépésein. A konzultáció kulcsfontosságú, hiszen itt térképezzük fel a kezelési lehetőségeket, a különböző preferenciákat és válaszolunk minden felmerülő kérdésre!
Kérjen időpontot zalaegerszegi fogászati rendelőnkbe online vagy telefonon (+36-30-9854-366)!
