Barázdazárás
Ez a beavatkozás egy caries prevenciós azaz egy fogszuvasodást megelőző kezelés. Gyermekeknél 6 éves kor körül alkalmazzuk, rögtön azután, miután az első maradó rágófogak (elölről a hatodikak) előbújnak. Előtörést követően a fog még éretlen, gyenge, csak később éri el a megfelelő keménységét, ellenállását. A rágófelszínük kifejezetten rücskös, barázdázott (még nem koptak meg). Ezekben, a barázdákban az ételmaradékok megrekedhetnek, és a felszaporodó baktériumok elindítják a fog szuvasodását. Ebben a korban a gyermekek kézügyessége sem kellően jó az alapos fogmosáshoz. A barázdazárás során a fogak rágófelszínét kenjük be egy anyaggal, amely ott megkeményedik, és hosszú ideig védi a fogat a fogszuvasodástól.
Ez idő alatt a fog megkeményedik, a gyermek ügyesebben és alaposabban mos fogat, és a barázdazáró anyag lassan kikopik. Az összes maradó rágófogat célszerű ily módon védeni. Érdemes fontolóra venni ezt a kezelést, mivel gyors, teljesen fájdalommentes, nem kell fúrni, maximálisan „fogkímélő”, és természetesen jobb, és olcsóbb mint egy tömés.
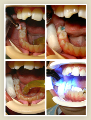
A barázdazárás menete:
A fog nem sérül a kezelés során, nem kell fúrni, csak bekenni! A fogat letisztítjuk polírozó kefével (1.kép), megszárítjuk, majd rákenünk egy színes folyadékot (foszforsavat) (2.kép). Ezt egy rövid idő után letöröljük, majd a fogat vízzel lemossuk, és újra szárítjuk. Ezután tesszük a fogra a folyékony barázdazáró anyagot, mely magától befolyik a legkisebb barázdába is. (3.kép)
Az anyag fényre köt, ezért megvilágítjuk 40 másodpercre (4.kép) és már kész is vagyunk. A „színes folyadék” egy sav, mely a fogra rövid időre rákenve, a zománc felszínét kismértékben felérdesíti. Ezekbe az érdességekbe „kapaszkodik” bele a barázdazáró anyag. Hogy mi történik, ha véletlenül ott is savaznánk, ahol nem kellene? Semmi visszafordíthatatlan- rövid időn belül a „felérdesített” zománcfelületbe a nyálban és fogkrémben levő fluor és más ásványi anyag visszaépül, a zománc meggyógyul.
Mi várható barázdazárás után?
A kész barázdazáró anyag 2-3 évig hatásosan védi a fogat a rágófelszíni fogszuvasodástól, és folyamatosan fluort bocsát ki, mely erősíti a fogat. A barázdazáró anyagok nagy előnye a mechanikai védelmen túl a fluorleadó képesség, mivel a baktériumok nem tudnak szaporodni bizonyos koncentrációjú fluoros környezetben.

Fogápolás gyermekkorban
A fogak ápolását nem lehet elég korán kezdeni. Ma már kaphatók különböző méretű, a gyermekek életkorának megfelelő fejű fogkefék és külön gyerekfogkrémek. Ezek íze, illata kellemes, ezért szívesen használják őket a kicsik. Fontos tudni, hogy az ő kézügyességük még nem megfelelő, ezért legalább az esti fogmosást érdemes az egyik szülőnek elvégezni a gyermek helyett. Mihelyt megjelennek az első maradó fogak a szájban át kell térni a felnőtt fogkrémre, mert ezeknek más az összetételük és alaposabban tisztítják a fogakat.
Kisgyermekeknél elfogadott a körkörös fogmosás, azonban később helyesebb, ha az ún. sepregetős technikát alkalmazzák.
A fogközök megtisztítására kaphatóak speciális, pici nyéllel ellátott fogselymek. Ezek használata szintén szülői segítséget igényel.

A tejfogak, szuvasodásaik és ellátásuk
A tejfogak megjelenése a gyermek szájában a 6. hónap környékén kezdődik és általában a 24. hónap körül fejeződik be. Ezek kisebbek, fehérebbek, mint a maradó fogak és kevesebb is van belőlük. A tévhittel ellentétben van gyökerük, de ez a maradó fogak fejlődése során felszívódik, ezért esnek majd ki. Kevésbé érzékenyek, mint a maradó fogak, ezért nem szükséges érzéstelenítő adása tömés készítése során.
A tejfogak szerepe
A tejfogak épp olyan fontos szerepet töltenek be, mint a későbbiekben a maradó fogak. A gyermek segítségükkel tanulja meg a helyes hangképzést, velük rág és fontos szerepük van a maradó fogak helyének biztosításában. Ha idő előtt kerülnek eltávolításra a hiány melletti két fog elmozdul, részben vagy teljesen zárja a rést, ezáltal gátolja a fog előtörését.
A tejfogak szuvasodása és ellátásuk
A tejfogak szuvasodása a fogak áttörése után már fél-egy évvel elkezdődhet, ezért a tejmetszőfogak romlása már 1 éves kor körül, a tejrágófogaké pedig 3 éves kor körül elkezdődhet. Ezek hátterében többnyire a nem megfelelő fogápolás illetve a helytelen táplálkozás áll. Gyakran előfordul, hogy a gyermek sok cukros teát, üdítőt, kakaót fogyaszt vagy cukros, mézes cumit kap, hogy „ne sírjon”. Ennek következménye az ún. körkörös szuvasodás (circularis caries) a tejmetszőfogak területén. Sajnos ez egy nagyon gyorsan terjedő típus és mire fogorvoshoz kerül a gyermek általában már csak fekete csonkok vannak a fogak helyén. Az így visszamaradt gyökereket sem szabad eltávolítani, csak ha folyamatos gyulladást okoznak, mert fontos szerepük van a helyfenntartásban.
A tejrágófogak szuvasodása lassabban megy végbe és hasonló, mint a maradó fogaké. Sokan úgy gondolják, hogy a tejfogakat nem kell betömni, mert úgyis kiesnek. Ez nem igaz! Ezeknek az ellátása is fontos, hogy nem okozzon panaszt a gyermeknek, hiszen a tejfogak közül sok csak 10-11 éves korban cserélődik le. Többféle módon történhet a kezelés. Ha nagyon kicsi a szuvasodás, akkor elcsiszolhatjuk a tejfogat és a felületét egy speciális anyaggal bekenjük. Ha nagyobb a szuvasodás, akkor tömést kell készíteni. Ilyenkor egy kis üreget alakítunk ki, majd üvegionomercement tömést helyezünk a fogba. Ez a tömőanyag eltér a maradó fogakétól, de köt a fog szövethez és fluoridot ad le, ami segít a további szuvasodás kialakulásának megelőzésében.
Szuvas tejfog következményei
Egy szuvas tejfog hasonló panaszokat okozhat, mint egy maradó fog. Hideg, meleg érzékenység, fájdalom alakulhat ki, valamint egy nagy szuvasodás következtében elhalhat a fog és gyulladás, duzzanat jöhet létre. Ez nem csak az adott pillanatban okoz problémát, hanem ha folyamatosan fennáll, akkor a fejlődő maradó fogon is elváltozást okozhat. Elszíneződhet a fog vagy az alakja változhat meg, ezért az elhalt tejfogakat is kezelni kell. Ez hasonló a maradó fog gyökérkezeléséhez, de mégis más, mivel felszívódnak a gyökerek. Ilyenkor a fog megnyitása és belsejének kitisztítása után addig nyitva hagyjuk a fogat, amíg a duzzanat el nem múlik mellőle. Amennyiben a gyermek lázas szükség lehet antibiotikumra is. Ha megszűnt a duzzanat, akkor egy tejfog gyökértömő anyagot teszünk a fog belsejébe (N2) és ideiglenes töméssel látjuk el. Ha így panaszmentes a gyermek, végleges tömést teszünk 1-2 hét múlva a fogba. Amennyiben a tejfog nem gyógyul, szükség lehet az eltávolítására. Mivel fontos helyfenntartó szerepet töltenek be ez csak akkor lehetséges, ha speciális helyfenntartó készülékkel biztosítjuk, hogy ne tudjon záródni a rés.