
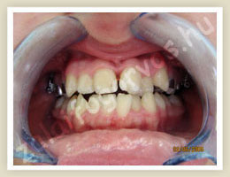
kiindulási helyzet a fogszabályozó felragasztása napján 2005 05 hó

kiindulási helyzet a fogszabályozó felragasztása napján 2005 05 hó

a fogszabályozó a levételt megelőzően

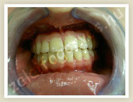
a fogszabályozó eltávolítása után a végállapot 2006 06 hó

1. eset: Fogszabályozás
Tovább

kiindulási helyzet a fogszabályozó felragasztása napján 2005 05 hó

kiindulási helyzet a fogszabályozó felragasztása napján 2005 05 hó

a fogszabályozó a levételt megelőzően

a fogszabályozó eltávolítása után a végállapot 2006 06 hó
Várjuk szeretettel
Kérjen előzetes konzultációt, vagy egykori páciensünkként kérjen időpontot. Hogy mihamarabb a gyógyulás útjára léphessen.