

kiindulási helyzet a fogszabályozó felragasztása napján 2004 05 hó


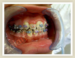
a fogszabályozó kezelés közben a levételt megelőzően pár hónappal 2005 07

2. eset: Fogszabályozás
Tovább


kiindulási helyzet a fogszabályozó felragasztása napján 2004 05 hó


a fogszabályozó kezelés közben a levételt megelőzően pár hónappal 2005 07
Várjuk szeretettel
Kérjen előzetes konzultációt, vagy egykori páciensünkként kérjen időpontot. Hogy mihamarabb a gyógyulás útjára léphessen.